Главная » Идеи для талантливых » Практические советы по предотвращению образования зубного камня в домашних условиях

Практические советы по предотвращению образования зубного камня в домашних условиях


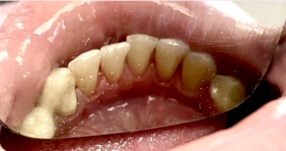
Узнайте, какие простые домашние методы могут помочь вам избежать проблемы с зубным камнем. Следуя этим советам, вы сможете сохранить здоровье своих зубов и избежать посещения стоматолога для удаления зубного камня.


Регулярно чистите зубы и используйте зубную нить для удаления налета и предотвращения образования зубного камня.

Чистка зубов

Избегайте употребления пищи и напитков, которые способствуют образованию зубного камня, таких как сахарсодержащие продукты и карбонатные напитки.

Зубной налет и зубной камень? Лучшее средство! Сделайте сами🙌

Попробуйте использовать натуральные освежители дыхания, такие как мята или перечная маслянистая смесь, чтобы снизить количество бактерий в полости рта и предотвратить образование зубного камня.

Как удалить зубной камень за 1 минуту в домашних условиях! [Профилактика кариеса, удаление налета]

Увеличьте потребление витамина С, который помогает укрепить десны и предотвращает образование зубного камня.

Удаление зубного камня. Домашние средства от зубного налета

Избегайте курения и употребления алкоголя, так как эти вредные привычки могут способствовать образованию зубного камня.

Как удалить зубной камень. Можно ли убрать в домашних условиях?

Массируйте десны с помощью щетки для зубов или специальной массажной щетки для улучшения кровообращения и предотвращения образования зубного камня.

Избавляемся от зубного камня в домашних условиях👌🏻

Постоянно следите за своей диетой, включая в нее больше свежих овощей и фруктов, которые помогут очистить зубы и предотвратить образование зубного камня.

10 Натуральных Способов Устранить Зубной Камень

При необходимости, посетите стоматолога регулярно для профессиональной чистки зубов и удаления зубного камня.

Как отбелить зубы, убрать зубной налет и зубной камень в домашних условиях. Чистка зубов без соды!

Используйте антисептический рассол для полоскания полости рта после чистки зубов, чтобы снизить количество бактерий и предотвратить образование зубного камня.

Супер средство от зубного камня. От жёлтого налета #егорзазож #зубы #здоровье #зож #shorts

Правильное питание и уход за полостью рта являются ключевыми факторами для предотвращения образования зубного камня. Будьте следовать этим простым рекомендациям, чтобы сохранить здоровье своих зубов!

Средства для удаления зубного камня в домашних условиях. Опасно ли это?