Главная » Идеи для талантливых » Полное избавление от пародонтоза дома: эффективные методы лечения без посещений стоматолога.

Полное избавление от пародонтоза дома: эффективные методы лечения без посещений стоматолога.


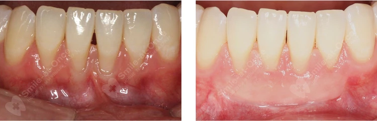
Узнайте, как вылечить пародонтоз без визита к врачу, используя оптимальные и проверенные домашние средства и методы. Советы и рекомендации по полному избавлению от пародонтоза и восстановлению здоровья десен в домашних условиях.


Регулярно чистите зубы с помощью мягкой зубной щетки и специальной зубной пасты, которая помогает бороться с бактериями и воспалением десен.

Самый простой способ победить пародонтит - Лечение пародонтита народные методы

Используйте природные антисептики для ополаскивания рта, такие как отвары лекарственных трав (шалфей, ромашка) или перекись водорода, чтобы уменьшить воспаление и уничтожить бактерии.

Простые тесты на кандидоз в домашних условиях

Постоянно массируйте десны с помощью мягкой зубной щетки или специальной массажной щетки, чтобы улучшить кровообращение и укрепить ткани.

Как я вылечила пародонтоз.

Избегайте курения и ограничьте потребление алкоголя, так как это способствует образованию зубного налета и ухудшает состояние десен.

ПАРОДОНТОЗ, кровоточивость десен – как лечить. Причины болезней полости рта - неизвестные факты.

Правильное питание богатое витаминами и минералами, особенно с питательными веществами для здоровых десен, поможет укрепить иммунитет и поддержать здоровье полости рта.

Десна кровоточили, не ел 3 суток, пока… простой народный рецепт от воспаления десен

Не откладывайте визит к стоматологу, если симптомы пародонтоза усиливаются или не проходят после длительного самолечения.

Как лечить парадонтит в домашних условиях

Используйте специальные зубные нитки или интердентальные щетки для удаления зубного налета и освобождения межзубных пространств от бактерий и пищевых остатков.

Как лечить пародонтит?

Избегайте чрезмерного механического воздействия на десны (например, сильного нажима на зубную щетку), чтобы не травмировать их и ухудшить состояние.

Вылечить заболевания пародонта за один день. Метеочувствительность.

😟 Запущенный пародонтит

Попробуйте использовать домашние средства, такие как соду или перекись водорода вместо обычной зубной пасты, чтобы бороться с воспалением и предотвратить образование пародонтальных карманов.

😁 Как я вылечила ПАРОДОНТОЗ дома сама БЕЗ ЛЕКАРСТВ. Моя история

Регулярно посещайте стоматолога для профессиональной гигиены полости рта и контроля состояния десен.